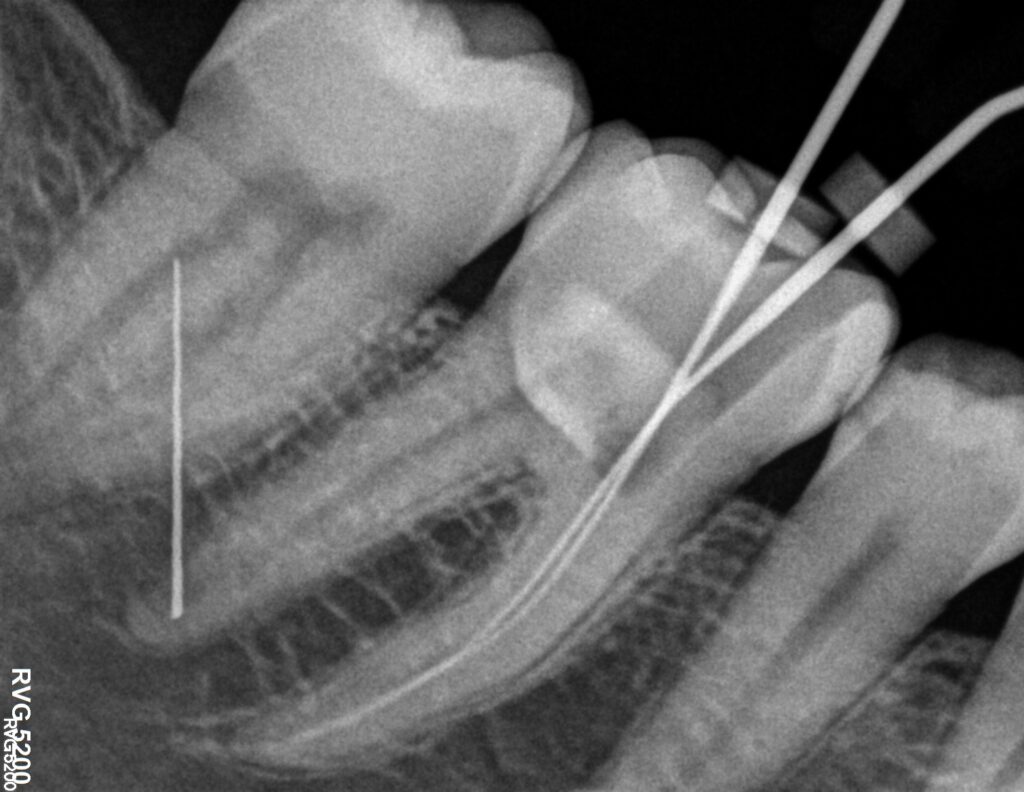
La Endodoncia es la rama de la odontología que se encarga del tratamiento de las patologías que afectan a los tejidos pulpares de los dientes como caries profundas, infecciones radiculares o fracturas.
Gracias a la endodoncia o tratamiento de conductos podemos conservar los dientes y su función. Cuando se deja que la caries dental evolucione o cuando el diente recibe un traumatismo importante éste termina afectando a los conductos donde está la pulpa dental (conocida como “nervio”). La acción de los microorganismos suele ser responsable de la infección e inflamación de la pulpa cuyo síntoma principal es el dolor agudo aunque a veces pueda pasar desapercibida. La evolución de esta inflamación termina en la “necrosis” o muerte de ésta, lo cual puede producir una infección o absceso a nivel óseo (flemón).
La Endodoncia limpia y conforma el interior de los conductos de las raíces dentales, sellándolos posteriormente impidiendo así la presencia de microorganismos en ellos. De este modo se consigue conservar el diente sin tener que extraerlo y la recuperación, en la mayoría de los casos, de la infección a nivel óseo.
El propósito principal de la Odontología es preservar todas las piezas dentales, ya que un diente natural no puede ser superado por ningún implante artificial.
En nuestra clínica somos especialistas en endodoncia y contamos con tecnología de última generación para resolver los casos más complejos.
Si deseas más información no dudes en contactar con nosotros.
Tu privacidad es importante para nosotros
El sitio web quiere usar cookies opcionales para mejorar la experiencia y compartir datos con socios publicitarios, lo que implica la transferencia de datos a terceros países con riesgo de acceso por autoridades públicas. La Política de Cookies detalla las cookies y permite cambiar o revocar el consentimiento en cualquier momento.
Volver
Tu privacidad es importante para nosotros
Puedes configurar tus preferencias y elegir como quieres que tus datos sean utilizados para los siguientes propósitos.